Funktion

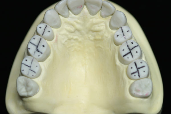
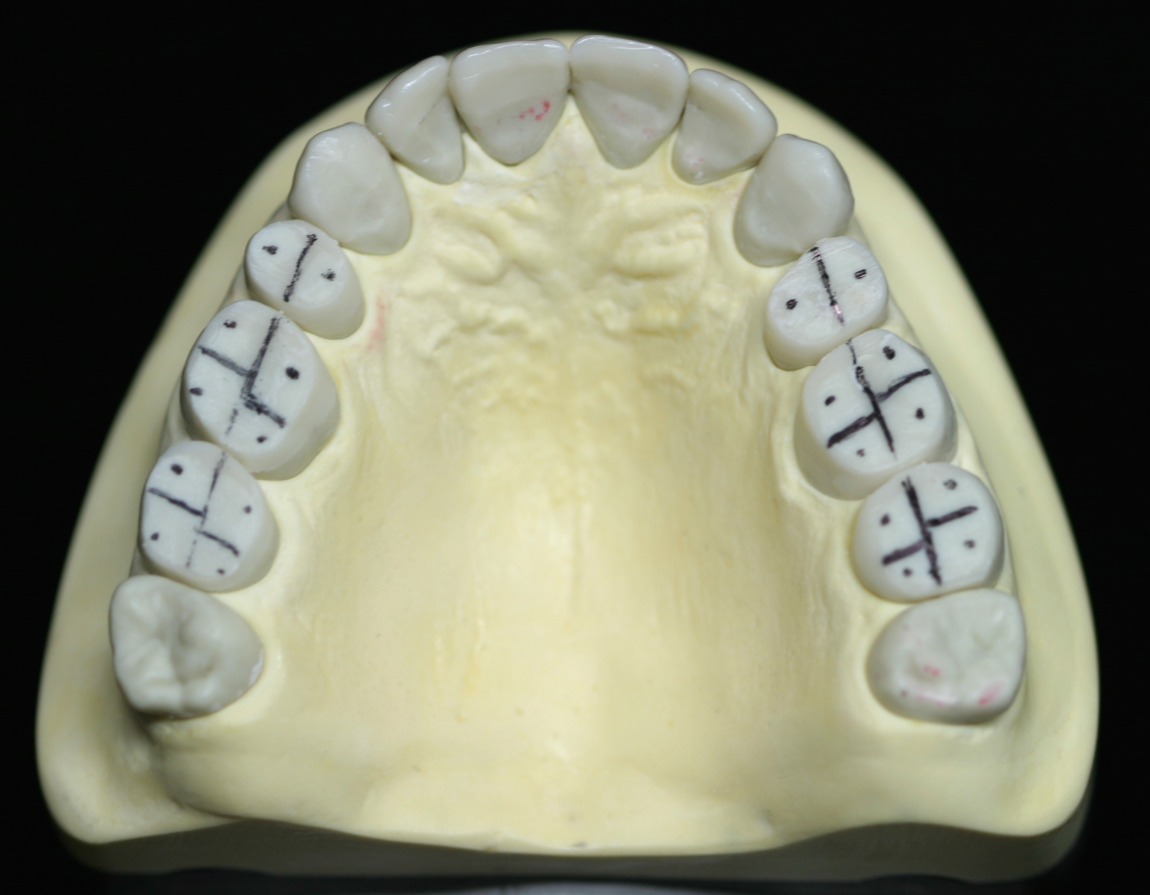
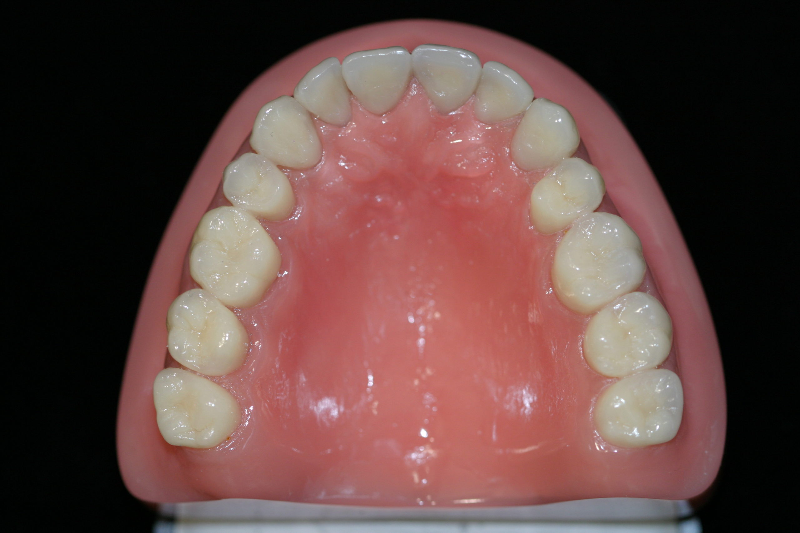
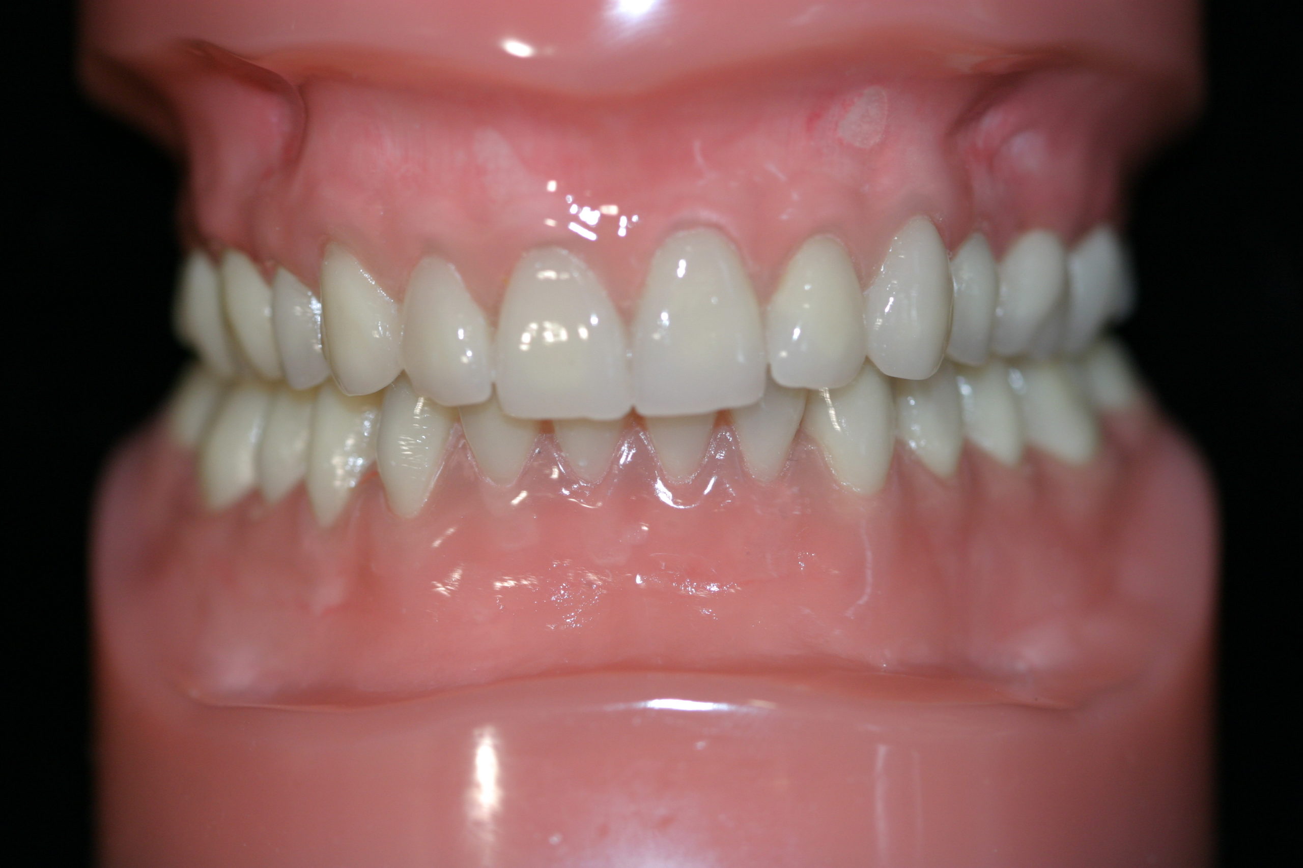
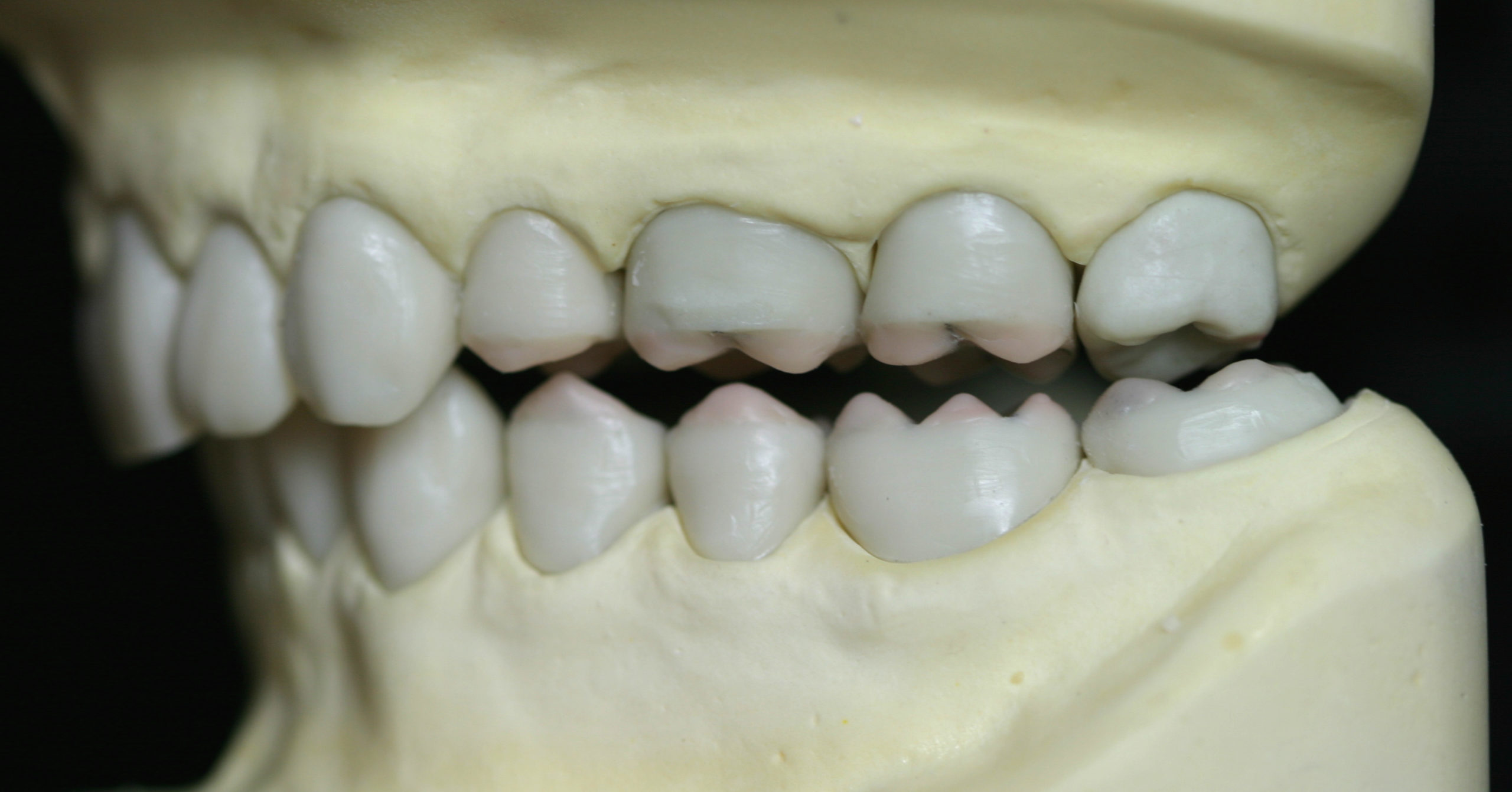
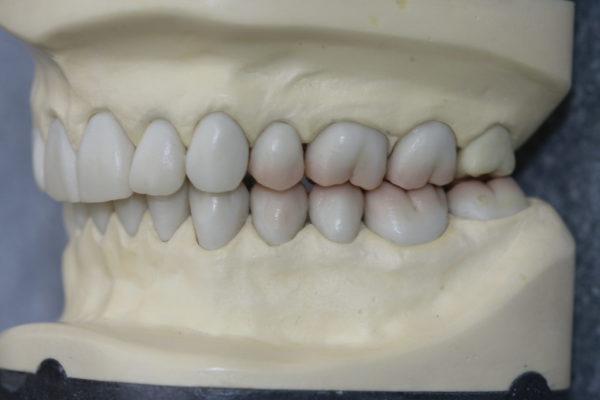
Funktioneller Zahnersatz ist in aller Munde, den wenigsten ist bewußt, was es damit auf sich hat. Wir verstehen unsere Aufgabe darin, erst einmal die Zähne zu planen. Das fängt im Kleinen mit einer Krone an, bis hin zur Komplettrestauration. Augenmerk liegt hier auf Bisssituation, Achsenverlauf der Zähne, Zahnfleischzustand, Knochensubstanz und Kiefergelenksvorgaben. Wenn in der Planung feststeht, was an dem Gesundheitszustand verbessert wird, sollte die funkionelle Eignung des Materials stattfinden bei gleichzeitiger Prüfung der Platzverhältnisse. Ist dieser Schritt geklärt geht es ins Detail jeden Zahnes, sprich hat jeder Zahn seine Stützfunktion im Kauapparat durch seine Kontaktpunkte und Schlifffacetten erreicht.

Ebenso gibt es für Implantate eine zusätzliche, gesonderte Funktion: Die Stellung der Achsen hat große Bedeutung für die Langlebigkeit. Es ist bei jedem Implantat die Abwägung zwischen Ästhetik und Kraftübertragung zu berücksichtigen. Zudem trägt das Gingivamanagement die Verantwortung, dass der restliche Zahnhalteapparat gesund und hygienisch bleibt.